- Haga su hogar a prueba de niñosLeer Artículo >>Bebés y niños pequeños
Haga su hogar a prueba de niños
Hacer de su hogar un lugar seguro para niños es de vital importancia para prevenir lesiones y muertes infantiles…
- Como evitar problemas de comida con los niñosLeer Artículo >>Prevención y Bienestar
Como evitar problemas de comida con los niños
Consejos, trucos y sugerencias sobre cómo lidiar con una persona selectiva con la comida en casa y en la…
- Vincularse con el bebéLeer Artículo >>Bebés y niños pequeños
Vincularse con el bebé
La vinculación es una conexión especial que tiene con su bebé. La vinculación con su bebé no es un…
-
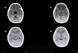
Traumatismo craneal por maltrato
El traumatismo craneal por maltrato (síndrome del bebé sacudido) es una forma de abuso infantil que puede ser mortal o…
-
Varicela
La varicela es una enfermedad altamente contagiosa causada por un virus. En el pasado fue una enfermedad infantil común hasta…
-
Rotavirus
El rotavirus es una infección altamente contagiosa que comúnmente afecta a los bebés y a los niños pequeños. La vacuna…
-
Dermatitis seborreica
Obtenga información sobre las causas y las opciones de tratamiento para la dermatitis seborreica.
-
Esclerosis tuberosa
Obtenga información sobre las causas, los síntomas y los tratamientos de la esclerosis tuberosa.Endocrine Thyroid Association, Association of Clinical…
-
Estrabismo
Obtenga información sobre las causas y los tratamientos del estrabismo u ojos bizcos.
-
Fiebre en lactantes y niños
Obtenga información sobre cómo tomar la temperatura de su hijo lactante o pequeño y sobre qué hacer si su hijo…
-
Infección por estreptococo del grupo B
El estreptococo del grupo B es un tipo común de bacteria que puede enfermar a los recién nacidos que están…
-
Raquitismo
El raquitismo es un trastorno poco común que afecta los huesos de los niños provocando fácilmente el debilitamiento y la…
-
Criando un hijo por su cuenta
Ser un padre soltero puede ser un desafío, pero también muy gratificante. Hay cosas que puede hacer para no sentirse…
-
Adenoides agrandadas
Las adenoides son diminutas piezas de tejido que se encuentran en la región posterior de la garganta. Ayudan al cuerpo…
-
Llevar a su bebé a casa
Hay mucho por planificar antes y después de llevar a un nuevo bebé a casa.




